
The reason for this is what the arthrosis does not know what the arthrosis does, people are involved in treatment methods and do not understand the principles of diagnosis of pathology.Arthrosis is a heavy doprophic violation that provokes the lesion of cartilage tissues in the careless cavity.The complexity of therapy is associated with the conversion of the processes, full treatment in modern medical work, but the severity of symptoms can be reduced and the progress of pathology can be slowed down.With proper treatment, a person continues to live a long time.
What is Arthroz?
Similarly, it is simpler to have a disease of combinations that cause motion and pain to restrict amplitude of the disease.There is no manifestation in the first stage of the damage, a light violence and washed.Gradually, the pathology is progressing, it is in the body, stress, injuries, etc.
Joint arthrosis develops a long time, first affects the cartilage of Hyalin, then spreads to the bones, sinovial shell, muscles and all combinations.In the first or early stage of arthrosis, the lesion was a little manifested: small pain after heavy work, swelling of the skin, redness.Unless ignoring the feelings, the joint is deformed, inflamed, severe pain, the tops fall in the morning.The disease is characterized by the loss of pain after the development of the compound.If not treated, a person loses its mobility.

Artrosis has a primary and secondary form.Pseudo-arthrosis is also different - many people do not know what it is, because it is less than other varieties.Neoarthrosis is a lie, so cartilage tissue is increasing in an unusual place where damage is taken.It is mostly difficult to treat surgically.
There is a pathology due to the renewal function, immunity or disorders of mechanical damage.It becomes subtle due to various causes of cartilage.In normal condition, the piece of cartilage takes enough nutrition to restore, but there is no time to restore the pieces due to extreme physical or violation of metabolic processes.In the first stage, joint mobility remains.Thinking that the arthropist is like definition, it is worth deepening in the development of pathology.
Artroose development mechanism, its types
The type of arthrosis is developed for a similar scheme:
- The main lesion affects the cartilage of hyaline.When blood circulatory violations, the deterioration of pathological power occurs.The first step or reason that arthrosis may occur.
- Hyaline coating pathologies.The tenderness of the cartilage leads to changing his pathological tissues - bone structures.
- The cartilage appears in anomalous growth - osteophytes.
- The violation of the natural anatomy of cartilage and bones provokes excessive loading of the healthy areas of the cartilage.The destruction of articular tissues without treatment is constantly progressing and causes disability.
When the degree of disease increases, pathological processes are still aggravated.In the end, the cartilage of the whole hyalen was destroyed.
Brings the final rate of the disease:
- To participate in the pathological process of the bones under the surfaces and the above bones;
- Irritating the joint crust that restricts the mobility that causes 2 degrees of disability;
- increased capsule density;
- To reduce the gap in the cavity of the compound that is noticeable in the picture.The phase of the rules shall be determined by the diagnostic-tantenologist.The patient feels the complexity or impossibility for correcting and bend suffering;
- Acquires a disorderly form that provokes joint deformation, cartilage, curvature;
- deterioration in the patient's state by completely destroying the compound.
Stages of Artrosis
There are 3 stages of development in joint disease:

- 1 degree.Morphological disorders have already started, but not yet noticed.The pathological, mainly affects the cynovial liquid situation that worsens cartilage tissues, mainly the power of cartilage.The cargo in combination provokes inflammation and pain.
- Stage 2. The necessary cartridges are destroyed due to supply failure, bone growths occur on the surface of cartilage.The pain gets a clearer character, strengthens after a long rest, eliminated by small physical labor.The pain is accompanied by inflammation.The muscles are lying that causing weakness or average impaired motor functions.
- 3 degrees.There are often pains, it is difficult to move according to the playful change.Lesions are wide, noticeable for the naked look.The deformation of the joint site occurs, the affected region is inflated and red.The limitation reading is concerned, which leads to the complexity of the action.Pathological changes shortened the ligaments.Sublishes and contracts appear.Neighboring muscles are shortened or stretched, the contract function weakens.
Reason and risk factors for arthrosis development
The reasons for the arthrobis of the compounds differ in pathological.Deformation of Dismlow combination, the deformation of the ankle joint and shoulder arthroches is sometimes developed without noticeable reasons, doctors, a doctor who is a doctor in rheumatic specialists.If the problem was not before visible pathologies, the disease is called key.The form of a random violation is mainly diagnosed, can lead to different states.
The main reasons for development:
- Mechanical damage: Dislocations, fractures, stretching, meniscus injuries;
- A number of endocrine disorders related to malfunctions in immunity;
- metabolism pathologies;
- dysplasia (congenital anomalies of articular tissues);
- conducted inflammation of the joints;
- pathologies that cause high mobility and weakening of ligaments.
Patients with arthrosis encountered a disease due to the most inclined factors:
- Age - changes;
- Lightweight weight and growing BMI.Joint high load causes rapid joint wear;
- lack of useful items;
- Excessive load in joints.The reason is intense training, sport, harsh physical work;
- a misconception of difficult working conditions or sport.If there is a history of damage, joint injuries or similar diseases, it is important to avoid traumatic and challenging training, to follow a special training program;
- The subsequent period of recovery or transmitted complex transactions related to the abilitence of a large part of the affected parts.Such states have a negative impact on cartilage smoothness and strength, they must be minimized in them;
- The genetic tendency is more diagnosed in patients with relatives with the same pathology of Artrosis;
- The phase of the postmenoposis is happening in women for about 50 years, is associated with changes in the endocrine system;
- destructive effects of toxins;
- the bad environmental situation in the living area;
- The joint is often damaged, sometimes microcracks do not appear for a long time;
- hypothermia;
- Pathology of the cervical part of the spine and spine.
Main arthrosis

The initial arthrosis is formed independently, ie without the influence of any internal or external causes.The defeat is slowly slowly with the hyalin cartilage.Rarely diagnosed, only 3-5% of all cases.
Second arthose
Secondary Artros, in most cases, are most found about 95-96% of cases.Provoked by any of the above pathologies.
Signs and signs of arthros
The manifestations of the disease are less different, depending on localization, the more hint is reflected on the knees, shoulder and hip combinations due to high load.
Basically the complaints come down:
- pain.They have little violence in the early stage, the exacerbation of the sensational situation is intensified.The joints first damage it after waking up, after light warming, feelings disappear.Over time, the pain appears at night, walking in the final stage, running, etc.And so on.
- It is a limited amplitude of actions.The stiffness of the movement shows the anatomical changes in the structure.First, the morning shows itself, and then daily movements are limited.To avoid provoking the situation of the situation, the work must be a variety and light, otherwise the patient cannot squeeze and squeeze in time.Over time, there is a risk of contract where a person lost the motor capability;
- The crown during the actions - this applies to non-specific manifestations of arthrosis.The disease is characterized by a partner in a partner, accompanied by a common (excluding polyariantry), a concern, pain and limited actions.The current nature is similar to wavelength - first self-weakening, gradually strengthens, but disappears in 3 stages;
- swelling with redness.The patient was localized near the playful, which indicates a inflammatory process and progress of the disease.The doctor understands that the synovial crust is affected, it provokes the collection of liquid and increased pain;
the limb deformations.It seems in a negligent form of the disease, completely destroying cartilage tissue and shows the appearance of osteoophytekites.In this case, as pressures of joints above and below, the curvature can affect all limbs.
It is important to remember the deformation of the bones on the legs often mixed with corn.Symptoms are only dangerous at first glance, but causing serious consequences.
Complications
Initially, conservative therapy methods are used for treatment.If you ignore unswined or patient doctor's recommendations, there are the risk of results.
Possible complications:
- The joint is completely destroyed;
- Except is immobilized, any movement is extremely difficult;
- Intervebralor Hernia;
- disability;
- A strong deformation of joint or all limbs.
Diagnosis of arthrosis
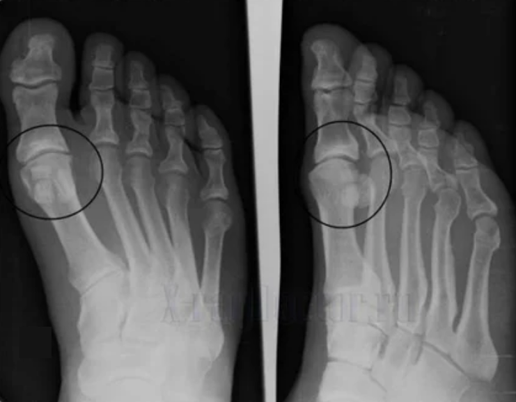
To diagnose Rheumatologists learn the patient's complaints and set an X -Ray exam.Most radiography is used in 2 forecasts.The doctor stares to have dystrophic disorders in the cartilage and bone compounds.If the articular gap is reduced, the bones are deformed or flattened, there are cystic compounds on the surface of the cartilage, osteoophytees are open signs of arthrosis.During the inspection, arthrosis indicates the instability of the combination: the reading of the limbs and subluxation is broken.

Often an X -Ray picture can not give complete information about the state of combination.For a more comprehensive study, calculated tomography is assigned, it becomes effective to explore the bones.MRI is used to learn more soft tissues.
The participation of other experts in the diagnosis is applied to whom the pathology identifies the root cause of the root.He often applies to hematologist, endocrinologist, gynecologist, orthopedic consultation.
Modern treatment
There are hundreds of ways of Arthosis therapy, but all goes down to a number of methods:
- Drug treatment.The main task is to combat symptoms and prevent further development of violation.Most, analgesic pain, non-anti -infitting anti-correction drugs, to combat anti-inflammatory, hormonal medications are determined for severe pain and sharp inflammation.Each course is based on the chondroprotants, which protects the fragments of cartilage, is used for the production of natural ingredients;
- Physiotherapy.Increases the effectiveness of the drugs, fight inflammation, relaxes symptoms, accelerating the recovery of tissue.The most commonly used ultrasound, electric, magnetic, laser therapy.This includes applications with mud baths, natural materials, radon baths;
- Medical physical education.Both are useful as preventing and facilitation of the situation.After proper physical exercise, it is possible to completely eliminate the pain.To visit the pool, deal with yoga and often walking;
- Manually therapy, massage will help in the treatment of disease, because it will help prevent the curvature of joints.Upon injuries, hand therapist can correctly correct the merger by preventing the fixation in the wrong position.After massage, muscle tone is developed, blood circulation is accelerated;
- Proper nutrition.A healthy diet will help enrich the body with nutrients for cartilage and reduce body weight.Increases a large mass of joints;
- Sanatorium-resort treatment will strengthen the joints.Sanatoriums in the frame of healing, training therapy, physiotherapy procedures, etc.Proposed;
- Non-traditional therapy.To treat arthrosis, huts, naturo-, aph- and herbal medicine, as well as acupuncture and various public recipes;
- Surgical intervention is the only way to return to ordinary life in the third stage of the disease.Endoprostetics allow you to replace the sick cartilage with the implant.The only deficiency of the transaction is a high price.A procedure has been enough for 15-20 years.
Preventive measures
Thus, the arthrosis of the combination does not worry about aging, it stops:
- maintain a healthy lifestyle;
- to prevent strong loads;
- to observe a diet;
- to exclude bad habits;
- To make daily gymnastics;
- Follow the weight.
Arthrosis is a dangerous disease that is easier to avoid treatment.By meeting the doctor in time and complying with the rules of treatment, the patient will be able to save a familiar lifestyle.The absence of therapy and self-self-self-self-self-self-self-self-self-self-self-self-self-self-self-self-self-self-self-self-self-self-self-owning has become aware of the disease and as a result.























